DVT (Digitale Volumentomographie)
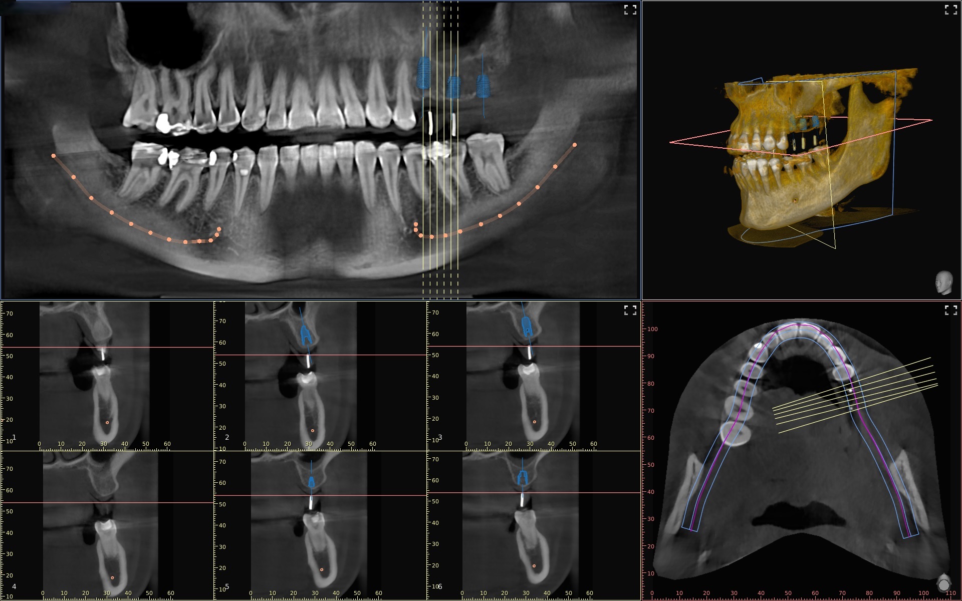
Die Digitale Volumentomographie (DVT) ist ein radiologisches bildgebendes Verfahren, das die Anatomie der Zähne, der Kiefer und des Gesichtsschädels dreidimensional darstellt und dadurch einen bedeutenden Beitrag zur präoperativen Diagnostik leistet.
Hinsichtlich des diagnostischen Wertes kann sie als strahlenreduzierte Variante der aus der Medizin bekannten Computertomographie (CT) gesehen werden. Sie findet besonders Anwendung im Bereich der zahnärztlichen Chirurgie und Implantologie, da sie weniger Störschatten (Röntgenartefakte) durch Metall produziert als die Computertomographie, was besonders im Hinblick auf die oft aus Metall gefertigten zahnärztlichen Kronen und Brücken ein entscheidender Vorteil ist.
Ein weiterer Vorteil gegenüber einigen Computertomographen ist das offene Gerät, so dass diese Aufnahme auch bei Patienten mit Platzangst problemlos durchgeführt werden kann.
Im Vergleich zu den konventionellen 2 D Röntgenaufnahmen, wie dem OPG oder dem Zahnfilm, gibt das DVT dreidimensionale Informationen und dies überlagerungs- und verzerrungsfrei. So kann exakt die Lage eines Weisheitszahnes in Bezug auf wichtige anatomische Strukturen, wie z.B. einen knöchernen Kanal in dem ein wichtiger sensibler Nerv im Unterkiefer verläuft oder die Kieferhöhle beurteilt werden.
Auch im Hinblick auf entzündliche Prozesse oder Fremdkörpersuche, kann deren genaue Lokalisation, ob diese zur Wange oder zum Gaumen liegen, bestimmt werden. Dies liefert wichtige Informationen zur intraoperativen Orientierung, um den operativen Zugang zu bestimmen und gibt zusätzlich Sicherheit und Präzision.
Gern beraten wir Sie ausführlich über alle Möglichkeiten, bitte vereinbaren Sie einen Termin telefonisch unter 05085 – 1222.
